This post is something personal and close to my heart. I don’t speak about it much nor show but this is the best time to talk about it.

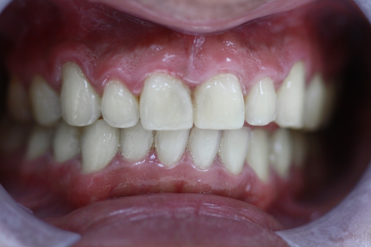
I’m a happy person who loves to chat, make people smile and laugh. Every time I see people smile I feel envious. You may have noticed that most of my post in my social media, I seldom show my teeth and see me smiling. The reason behind is I don’t have that beautiful smile or those pearly white set of teeth.  Asians like me born naturally with yellowish teeth which is stronger than white teeth. To top it off I accidentally chipped my front tooth which made me even look like a growing kid.I’ve been attending a lot events and meeting new people but most of the time I have been accused of being snob because of my resting bitch face.

To solve this personal issue, I booked an appointment with Pearl Dental Clinic which is located at Citadel Tower in Business Bay. I felt nervous, and it was like was my first time visiting a dentist here in Dubai. When I entered the clinic I thought I was in the sea of clouds. The entire place looks clean and white. I was greeted by the receptionist Nina and ask to register and answer few questionnaires regarding  my current  health condition, past medical history and allergies. After a couple minutes I met Dr. Salah and Dr. Aditi A.K.A “Tooth Fairy Guardians” for consultation to discuss my current dental issues.  They’re my savior who changed not just my smile but my life too.

When you smile, your eyes smiles too – Dr. Salah

First of the agenda was the dentist consultations. Dr. Salah asked a couple of questions regarding how I find my smile and what procedures need to be done to achieve those goals.   We discuss the following options from cleaning, whitening, composite bonding  and veneers. I choose the cleaning, whitening and composite bonding as per my time frame and budget.

They took a lot of photos of my teeth for the them to get a complete look on how my teeth will look like after all the procedures.

Amazing view with Dubai Canal and the Equestrian Track

Cleaning

It’s been a while since my last visit to a dentist for cleaning thats why my gums suffers from gingivitis. I was advise to take the cleaning process first before going through the whitening process. Due to my gingivitis my gums bled during the procedure. Dr. Salah advised me not to proceed with the whitening as they need to let the swollen gums to mend as the quality of the whitening might get affected. After the procedure I felt like my teeth are back in their tip top conditions and stain marks are no longer visible.

Pro Tip: Visit your dentist every 6 months for cleaning to maintain good oral hygiene and good teeth.

Whitening

After a week I went back for my second appointment. This is it! I’m so excited and I just can’t hide it… After a couple of chit chat with Dr. Aditi, we head over to the dentist chair. The whitening process is really quick and easy which lasted for 30 to 45 minutes which consist of 3 rounds during the appointment. She did the teeth polishing first and the whitening process after. She informed me that there will be a slight sting before and after procedure which is bearable because of the whitening agent and the UV light.

After the procedure I was amazed and happy about how my teeth have lightened compared before the procedure, It was 2 shades lighter now. Yes, this is not a one time big time process. When you want get yours whiten you need a couple of sessions not in one sitting unless you wanted to completely damage your teeth or you have budget for veneers. (Sorry I don’t have any decent pictures here) . I noticed that my smile is more brighter, they look health and strong too.

Pro Tip: As per Dr. Aditi’s advice, in two days avoid colored food and drinks such as food with sauce, coffee, tea or juices. A good maintenance will last your whitened teeth for more than 8 months.

Composite Bonding

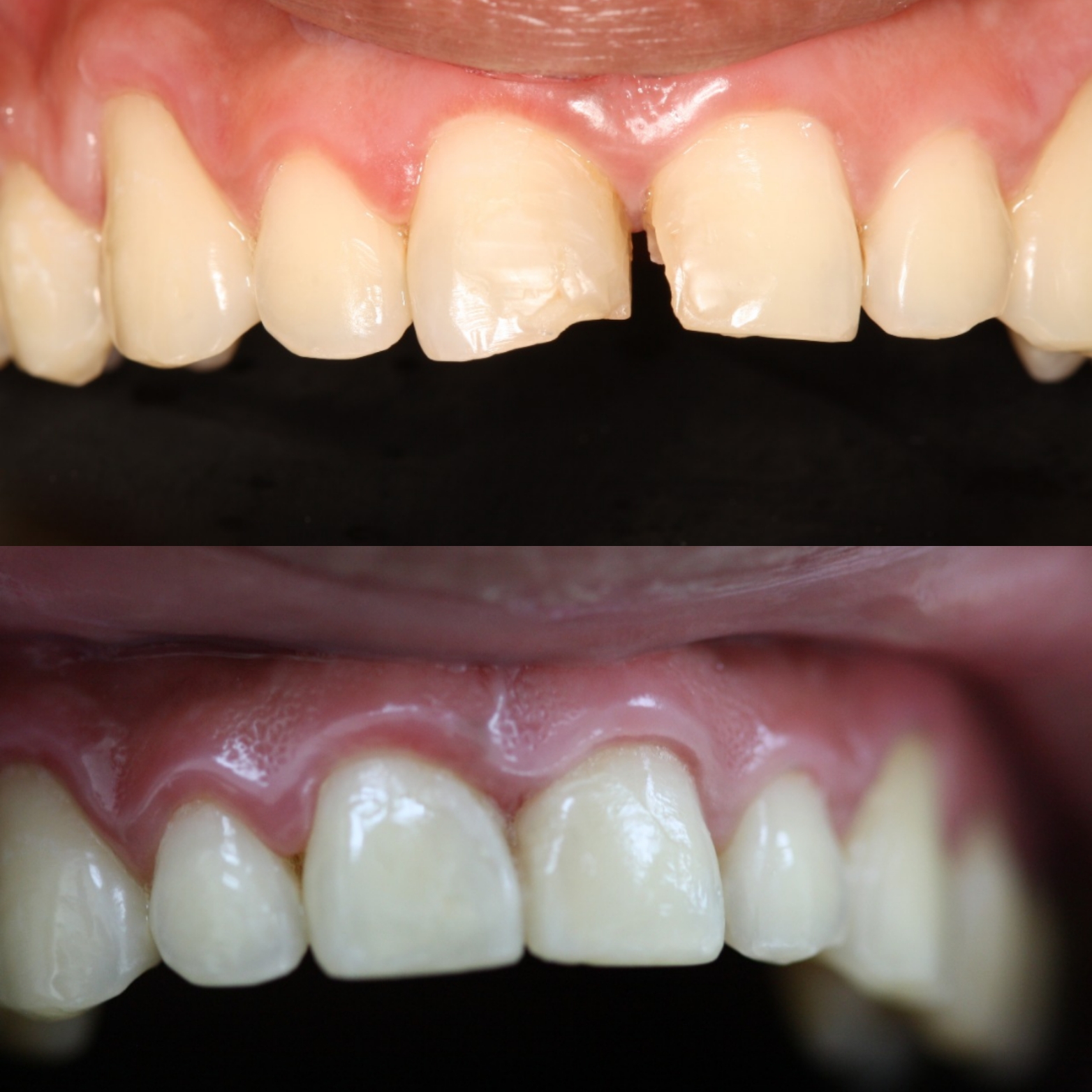
At last, the 3rd appointment which is the ultimate and final step of my treatment. To complete the entire process they need to closed the gap and the chipped tooth which is not naturally there using composite bonding. It was a quick 30 mins procedure. Little did I know that the finishing touches would definitely change the way I smile. As in seriously, next level smile.

Dr. Salah, did the procedure to me with ease. Actually I felt drowsy during the process as his hands are magically light and I didn’t feel almost anything. Not only they closed and fix the gap, they also repair the chipped tooth and balance them out and make them look natural.

this is the Before and After shoot

It took me 3 visits to achieve my desired smile and I it was all worth it. There were no words for me to describe how I felt when I first saw my new smile. I was shocked and amazed at same time knowing that such little changes will make a difference, I did’t know I have such good smile. Goodbye to that awkward smile and hello to the new smile.  I really did the right choice of going to Pearl Dental Clinic because I was really taken care of, pampered a lot and i got more than what I asked for.

The tooth faries who made it all possible left to right (Maria, Dr. Saleh and Dr. Aditi)

I can now confidentialy smile without hesitations. More to smiling photos and selfie. Did I mention that my phone is almost full because of the number of selfies i’ve done and still counting

For more details you can contact or visit them at

Pearl Dental Clinic
Tel: 04 427 0710
email: info@pearldentalclinic.ae
www.pearldentalclinic.ae

Clinic Timings: Saturday to Thursday 9:00 AM to 7:00 PM

Look for Dr. Salah or Dr. Aditi

 

Leave a comment

This site uses Akismet to reduce spam. Learn how your comment data is processed.